Сайт находится в тестовом режиме. Уточнить информацию можно по номеру 8(343)272-03-03! Просим прощения за временные неудобства.

Обратите внимание! Цены на сайте могут не совпадать с актуальным прейскурантом ввиду его обновления. Просьба уточнить цену у оператора контакт центра.

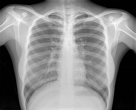
Рентгенография грудины (со снимком)

Рентгенография грудной клетки - это метод диагностики, позволяющий получить изображение органов грудной полости с помощью облучения рентгеновыми лучами.

Различные ткани организма в зависимости от своей плотности по-разному пропускают рентгеновы лучи, а значит, по-разному отображаются на снимке (рентгенограмме).

Рентген грудной клетки дает возможность изучить костные структуры (ребра, грудину, позвоночник), легкие, плевру, бронхи и трахею, сердце и средостение, а также оценить состояние мягких тканей этой области.

Что показывает рентген грудной клетки?

  • присутствие в легких очагов воспаления, в том числе характерных для таких заболеваний как пневмония и туберкулёз;
  • наличие опухолевых образований и отеков, которые могут быть следствием сердечной недостаточности;
  • наличие патологических скоплений газов и жидкостей;
  • скопление жидкости в околосердечной сумке, увеличение размера сердца, аорты и лимфатических узлов;
  • инородные предметы в легких, пищеводе и дыхательных путях.

Показания:

  • длительный кашель;
  • отхаркивание большого количества мокроты;
  • кровь в мокроте;
  • одышка;
  • систематические боли в груди или боли в области спины;
  • длительное повышение температуры тела.

Противопоказания:

  • беременность