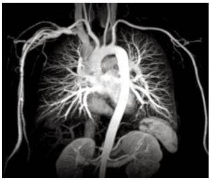
КТ Ангиография грудного отдела аорты и её ветвей с контрастированием
Это такой метод рентгенологической диагностики, с помощью которого можно оценить анатомическое строение и состояние грудного одела аорты и ее ветвей.
Показания:
- аномалии сосудов аорты и ее ветвей (в том числе, аневризмы)
- тромбэмболия легочной артерии (ТЭЛА)
- сужение просвета сосудов (в том числе, из-за атеросклероза)
- расслоение стенок аорты
- травмы
- пороки сердца
- до- и послеоперационное обследование

Противопоказания:
- Беременность
- Детский возраст
- Индивидуальная непереносимость йодсодержащих контрастных препаратов
- Аллергические реакции на йод
- Почечная недостаточность
- Прием сахароснижающих препаратов
- Грудное вскармливание: не является противопоказанием, однако требует временного перехода на искусственное вскармливание или кормление заранее сделанными запасами грудного молока в комбинации со сцеживанием.
